Submandibular Secretory Carcinoma in a 10-year-old Filipino
DOI:
https://doi.org/10.21141/PJP.2022.13Keywords:
secretory carcinoma, submandibular gland mass, ETV6-NTRK3 fusion, school-age childAbstract
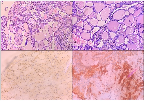
Secretory carcinoma is a recently described salivary gland neoplasm reported in the fourth edition of World Health Organization classification of head and neck tumors.1 We report a case of a primary secretory carcinoma arising from the submandibular gland that was completely excised in a 10-year-old. The histomorphologic features and the immunophenotype studies are compatible with secretory carcinoma. Unless proven otherwise by immunohistochemical stains and cytogenetics, secretory carcinoma should be included as a differential in cases of lesion of the major and minor salivary glands that has the primary differential diagnosis of acinic cell carcinoma. This case report aims to contribute to the limited literature about this disease entity and would be one of the few reported cases of the disease in a school-age child.
Downloads
References
2. Reis-Filho JS, Natrajan R, Vatcheva R, et al. Is Acinic cell carcinoma a variant of secretory carcinoma? A FISH study using ETV6 ‘split apart’ probes. Histopathology. 2008;52(7):840-6. https://pubmed.ncbi.nlm.nih.gov/18462362. https://doi.org/10.1111/j.1365-2559.2008.03046.x.
3. Skálová A, Vanecek T, Sima R, et al. Mammary analogue secretory carcinoma of salivary glands, containing the ETV6-NTRK3 fusion gene: a hitherto undescribed salivary gland tumor entity. Am J Surg Pathol. 2010;34(5):599-608. https://pubmed.ncbi.nlm.nih.gov/20410810. https://doi.org/10.1097/PAS.0b013e3181d9efcc.
4. Skálová A, Banečkova M, Thompson LDR, et al. Expanding the molecular spectrum of secretory carcinoma of salivary glands with a novel VIM-RET fusion. Am J Surg Pathol. 2020;44(10):1295-07. https://pubmed.ncbi.nlm.nih.gov/32675658. https://doi.org/10.1097/pas.0000000000001535.
5. Schwartz LE, Begum S, Westra WH, Bishop JA. GATA3 immunohistochemical expression in salivary gland neoplasms. Head Neck Pathol. 2013;7(4):311-5. https://pubmed.ncbi.nlm.nih.gov/23604756. https://www.ncbi.nlm.nih.gov/pmc/articles/PMC3824803. https://doi.org/ 10.1007/s12105-013-0442-3.
6. Bishop JA, Yonescu R, Batista D, Begum S, Eisele DW, Westra WH. Utility of mammaglobin immunohistochemistry as a proxy marker for the ETV6-NTRK3 translocation in the diagnosis of salivary mammary analogue secretory carcinoma. Hum Pathol. 2013; 44(10):1982-8. https://pubmed.ncbi.nlm.nih.gov/23773480. https://www.ncbi.nlm.nih.gov/pmc/articles/PMC3779501. https://doi.org/10.1016/j.humpath.2013.03.017.
7. Miettinen M, McCue PA, Sarlomo-Rikala M, et al. GATA3: a multispecific but potentially useful marker in surgical pathology: a systematic analysis of 2500 epithelial and nonepithelial tumors. Am J Surg Pathol. 2014;38(1):13–22. https://pubmed.ncbi.nlm.nih.gov/24145643. https://www.ncbi.nlm.nih.gov/pmc/articles/PMC3991431. https://doi.org/10.1097/PAS.0b013e3182a0218f.
8. Matsumoto Y, Horiike S, Ohshiro M, et al. Expression of master regulators of helper T-cell differentiation in peripheral T-cell lymphoma, not otherwise specified, by immunohistochemical analysis. Am J Clin Pathol. 2010;133(2):281-90. https://pubmed.ncbi.nlm.nih.gov/20093238. https://doi.org/10.1309/AJCP0SBHYVLY5EML.
9. Pernic N. Thyroglobulin. PathologyOutlines.com. https://www.pathologyoutlines.com/topic/stainsthyroglobulin.html. Accessed October 11, 2022.
10. Liu H, Lin F. Application of immunohistochemistry in thyroid pathology. Arch Pathol Lab Med. 2015;139(1):67-82. https://pubmed.ncbi.nlm.nih.gov/25549145. https://doi.org/10.5858/arpa.2014-0056-RA.
11. Khurram SA, Speight PM. Characterisation of DOG-1 expression in salivary gland tumours and comparison with myoepithelial markers. Head Neck Pathol. 2019;13(2):140-8. https://pubmed.ncbi.nlm.nih.gov/29671211. https://www.ncbi.nlm.nih.gov/pmc/articles/PMC6513803. https://doi.org/10.1007/s12105-018-0917-3.
12. Banerjee N, Banerjee D, Choudhary N. Secretory carcinoma of the breast, commonly exhibits the features of low grade, triple negative breast carcinoma- A case report with updated review of literature. Autopsy Case Rep. 2020;11: e2020227. https://pubmed.ncbi.nlm.nih.gov/34277491. https://www.ncbi.nlm.nih.gov/pmc/articles/PMC8101654. https://doi.org/10.4322/acr.2020.227.
13. Boliere C, Murphy J, Qaisi M, Manosca F, Fung H. Mammary analogue secretory carcinoma of the palate: case report and review of the literature. Case Rep Dent. 2019;2019:7416302. https://pubmed.ncbi.nlm.nih.gov/30937197. https://www.ncbi.nlm.nih.gov/pmc/articles/PMC6415289. https://doi.org/10.1155/2019/7416302.
14. Takabatake K, Nakano K, Kawai H, et al. Secretory carcinoma of salivary gland with high-grade histology arising in hard palate: a case report. Reports. 2020;3(2):6. https://doi.org/10.3390/reports3020006.
15. Ogawa M, Yokoo S, Yamaguchi T, et al. Diagnosis and treatment of secretory carcinoma arising from the oral minor salivary gland: two case reports. Medicine (Baltimore). 2021;100(51):e28390. https://pubmed.ncbi.nlm.nih.gov/34941172. https://www.ncbi.nlm.nih.gov/pmc/articles/PMC8702035. https://doi.org/10.1097/MD.0000000000028390
16. World Health Organization. WHO classification of tumours online. https://tumourclassification.iarc.who.int/chaptercontent/52/89. Accessed October 11, 2022,
17. Uy TC, Mohammad Isa AH, Carnate J. Secretory carcinoma of the salivary glands. Philipp J Otolaryngol Head Neck Surg. 2022;37(1):59-60. https://doi.org/10.32412/pjohns.v37i1.1953.
18. Sun L, Thorson T, Zhu R, et al. A case report of parotid mammary analogue secretory carcinoma and reviews. Int J Surg Case Rep. 2019; 55:88-91. https://pubmed.ncbi.nlm.nih.gov/30716709. https://www.ncbi.nlm.nih.gov/pmc/articles/PMC6360266. https://doi.org/10.1016/j.ijscr.2019.01.004.
19. Goldblum JR, Lamps LW, McKenney JK, Myers JL, eds. Rosai and Ackerman's Surgical Pathology. 11. Philadelphia: Elsevier; 2018.
20. Schwartz LE, Begum S, Westra WH, Bishop JA. GATA3 immunohistochemical expression in salivary gland neoplasms. Head Neck Pathol. 2013;7(4):311-5. https://pubmed.ncbi.nlm.nih.gov/23604756. https://www.ncbi.nlm.nih.gov/pmc/articles/PMC3824803. https://doi.org/10.1007/s12105-013-0442-3.
21. Bishop JA, Yonescu R, Batista D, Begum S, Eisele, DW, Westra WH. Utility of mammaglobin immunohistochemistry as a proxy marker for the ETV6-NTRK3 translocation in the diagnosis of salivary mammary analogue secretory carcinoma. Human Pathol. 2013;44(10):1982-8. https://pubmed.ncbi.nlm.nih.gov/23773480. https://www.ncbi.nlm.nih.gov/pmc/articles/PMC3779501. https://doi.org/10.1016/j.humpath.2013.03.017.
22. Na K, Hernandez-Prera JC, Lim JY, Woo HY, Yoon SO. Characterization of novel genetic alterations in salivary gland secretory carcinoma. Mod Pathol. 2020;33(4):541-50. https://doi.org/10.1038/s41379-019-0427-1.
Downloads
Published
How to Cite
Issue
Section
License
Copyright (c) 2022 PJP

This work is licensed under a Creative Commons Attribution-NonCommercial-ShareAlike 4.0 International License.









@philippinepathologyjournal