Skip to main content
Skip to main navigation menu
Skip to site footer
Open Menu
The Philippine Journal of Pathology
Home
About
Journal History
Editorial Team
Privacy Statement
Contact
Announcements
Editorial Policies
Focus and Scope
Publication Frequency
Normative References
Editorial Independence
Publication Ethics
Editorial Process
Peer Review
Open Access, Copyright Ownership, and Publication License
Generative AI
Corrections & Retractions
Manuscript Withdrawals
Appeals, Complaints, & Disputes
Archiving and Preservation
Advertisements and Sponsorships
Author Guidelines
Instructions to Authors
Submission Preparation Checklist
Article Types
PJP Downloadable Forms
Issues
Early Access
Forthcoming Articles
Archives
Reviewers
Sponsors
Search
Register
Login
Home
/
Archives
/
Vol. 8 No. 2 (2023): December Issue (Online)
Vol. 8 No. 2 (2023): December Issue (Online)
PREVIEW AND DOWNLOAD THE FULL ISSUE
DOI:
https://doi.org/10.21141/PJP.2023-2
Published:
12/13/2023
Editorial
Defining the Terms of Reference of the PSP’s Committee on Academic and Research Pathology
Amado Tandoc III
4-5
PDF
DOI:
https://doi.org/10.21141/PJP.2023.17
Feature Articles
Ethical Concerns and Recommendations for Sharing Anatomic Pathology Images in Online Social Media Networks
Christine Mae Olivar
6-11
PDF
DOI:
https://doi.org/10.21141/PJP.2023.12
Original Articles
Impact of the COVID-19 Pandemic on Blood Supply
A Comparative Cross-Sectional Study of the Pre-Pandemic and Pandemic Era
Johnmerson Yap, Ma. Theresa Fedoc-Minguito
12-17
PDF
DOI:
https://doi.org/10.21141/PJP.2023.11
Needs Assessment for Establishment of Telepathology in the Philippines
Christine Mae Olivar, Godofredo II Inciong, Paul Fontelo
18-24
PDF
DOI:
https://doi.org/10.21141/PJP.2023.16
Attitudes and Perceptions of Filipino Clinicians and Pathologists towards the Autopsy as a Medical Tool
Kathrina Aseanne Acapulco-Gomez, Irene Uson
25-34
PDF
DOI:
https://doi.org/10.21141/PJP.2023.13
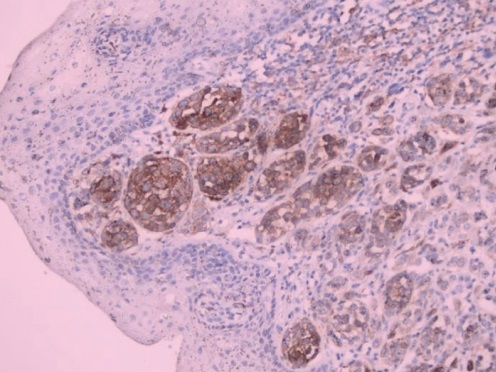
Correlation of Clinicopathologic Features of Filipino Primary Breast Cancer Patients with HER2 Subgroups Classified according to the ASCO/CAP 2018 Breast Cancer HER2 Testing Guidelines
Lara Mae Gonzales, Sarah Jane Datay-Lim, Elizabeth Ann Alcazaren
35-42
PDF
DOI:
https://doi.org/10.21141/PJP.2023.18
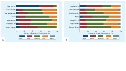
The Use of Hedge Phrases in Histopathology Reports by Filipino Pathologists and Clinicians’ Interpretation of Them
Paolo Macasaet, Emilio Villanueva III
43-48
PDF
DOI:
https://doi.org/10.21141/PJP.2023.19
Case Reports
Mucosal Melanoma of the Male Urethra
A Case Report
Kathleen Adryon Tan, Maria Sarah Lenon
49-53
PDF
DOI:
https://doi.org/10.21141/PJP.2023.14
An Incidental Finding of Leydig Cell Tumor in a 36-year-old Southeast Asian Male who presents with Infertility
A Case Report and Literature Review
Josh Matthew Chen, Benedict Jose Canora, Jeffrey So
54-58
PDF
DOI:
https://doi.org/10.21141/PJP.2023.15
A Case Report of Extensive Facial Primitive Myxoid Mesenchymal Tumor of Infancy
An Approach to Diagnosis and Review of Literature
Ma. Cristina Briones, Jeffrey Domingo
59-64
PDF
DOI:
https://doi.org/10.21141/PJP.2023.20
Images in Pathology
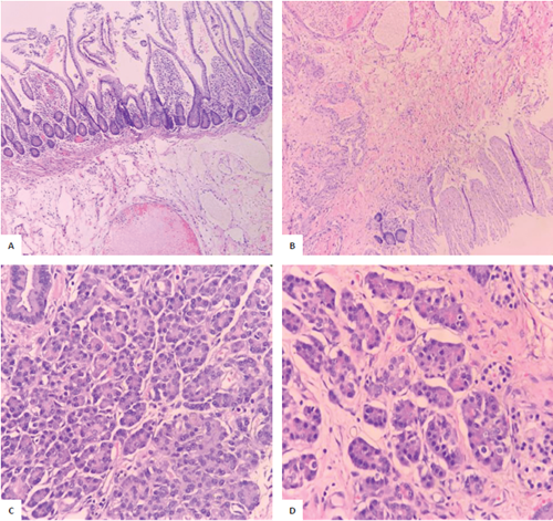
Ileo-Ileal Intussusception with Meckel Diverticulum in a Filipino Adolescent
John Nicholas Pantoja, Manuelito Madrid
65-68
PDF
DOI:
https://doi.org/10.21141/PJP.2023.10
submit_a_manuscript
website_vistors
WEBSITE VIEWS
Announcements
Advertisement: Onset Rapid Test Kits
25 March 2026
Advertisement: PlusLife MiniDock POC Molecular System for Tuberculosis
25 March 2026
psp_website
PHILIPPINE SOCIETY OF PATHOLOGISTS, INC.
online_resources
ONLINE RESOURCES