Skip to main content
Skip to main navigation menu
Skip to site footer
Open Menu
The Philippine Journal of Pathology
Home
About
Journal History
Editorial Team
Privacy Statement
Contact
Announcements
Editorial Policies
Focus and Scope
Publication Frequency
Normative References
Editorial Independence
Publication Ethics
Editorial Process
Peer Review
Open Access, Copyright Ownership, and Publication License
Generative AI
Corrections & Retractions
Manuscript Withdrawals
Appeals, Complaints, & Disputes
Archiving and Preservation
Advertisements and Sponsorships
Author Guidelines
Instructions to Authors
Submission Preparation Checklist
Article Types
PJP Downloadable Forms
Issues
Early Access
Forthcoming Articles
Archives
Reviewers
Sponsors
Search
Register
Login
Home
/
Archives
/
Vol. 7 No. 1 (2022): June Issue (Online)
Vol. 7 No. 1 (2022): June Issue (Online)
PREVIEW AND DOWNLOAD THE FULL ISSUE
DOI:
https://doi.org/10.21141/PJP.2022
Published:
04/01/2022
Full Issue
PJP VOL. 7 NO. 1
President's Message
President's Message
Alan Koa
3
PDF
Editorial
The Distance Between Two Points
Amado Tandoc III
4
PDF
DOI:
https://doi.org/10.21141/PJP.2022.01
Opinion
Anatomic Pathology Practice in the Philippines
Raymundo Lo
5-6
PDF
DOI:
https://doi.org/10.21141/PJP.2022.10
Position Statements
Position Paper on the Conduct of the Autopsy during and after the COVID Pandemic
Philippine Society of Pathologists, Inc.
8
PDF
DOI:
https://doi.org/10.21141/PJP.2022.12
Original Articles
Prevalence and Clinico-Pathologic Features of ALK Rearrangement Among Adult Filipinos with Non-Small Cell Lung Cancer in a Private Tertiary Care Hospital
Steffanie Charlyne Tamayo, Rebecca Nagtalon, Joanmarie Balolong-Garcia, Yancel Donna Mascardo, Jose Jasper Andal, Daphne Ang, Marcelo Severino Imasa, Rex Michael Santiago
9-14
PDF
DOI:
https://doi.org/10.21141/PJP.2022.04
Application of the Milan System of Reporting Salivary Gland Cytopathology: A Retrospective Cytohistological Study in a Tertiary Medical Center
Carolyn Marie Legaspi, Elizabeth Ann Alcazaren, Jose Carnate Jr.
15-23
PDF
DOI:
https://doi.org/10.21141/PJP.2022.03
Preliminary Study on Prevalence of P16-Positive Squamous Cell Carcinoma of the Oral Cavity, Oropharynx and Larynx in Rizal Medical Center and its Histomorphologic Correlation
Jorel Renly Gamboa, Thomas Jeff Lim Jr.
24-30
PDF
DOI:
https://doi.org/10.21141/PJP.2022.08
Determination of Rates of Malignancy on Archival Salivary Gland Fine-Needle Aspiration Biopsy after Application of the Milan System for Reporting Salivary Gland Cytopathology in the Philippine General Hospital
A 1-Year Retrospective Study
Nikko Paolo Cablao, Pauleen de Grano, Agustina Abelardo, Jose Ma. Avila, Dahlia Teresa Argamosa
31-37
PDF
DOI:
https://doi.org/10.21141/PJP.2022.09
Case Reports
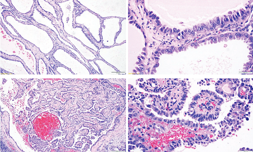
The Utility of Immunohistochemistry in Diagnosing Tubulocystic Renal Cell Carcinoma with Papillary Morphology
Allison Kaye Pagarigan, Erland Del Rosario
39-45
PDF
DOI:
https://doi.org/10.21141/PJP.2022.02
Glomangiopericytoma
A Rare Sinonasal Neoplasm
Karen Damian, Rachel Alegata
46-49
PDF
DOI:
https://doi.org/10.21141/PJP.2022.06
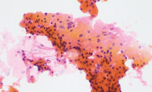
Brain Metastasis of Papillary Ovarian Adenocarcinoma
Sonia Chhabra, Niti Dalal, Sunita Singh
50-52
PDF
DOI:
https://doi.org/10.21141/PJP.2022.05
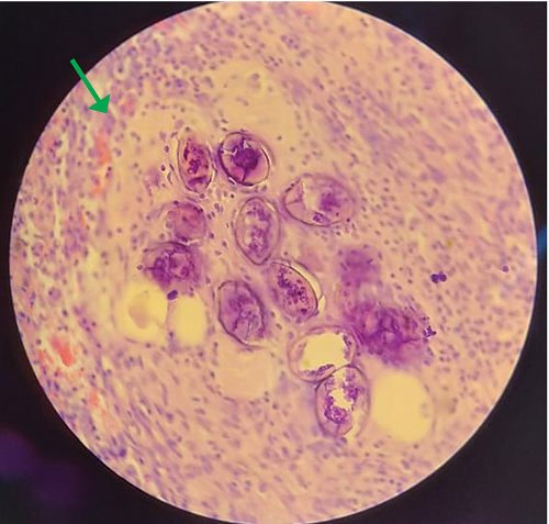
Ectopic Schistosomiasis Presenting as Ruptured Appendicitis with Periappendiceal Abscess Formation
An Alternative Pathogenetic Perspective
Marcel Joshua Del Fierro, Yvette Tan, Larissa Lara Torno
53-56
PDF
DOI:
https://doi.org/10.21141/PJP.2022.07
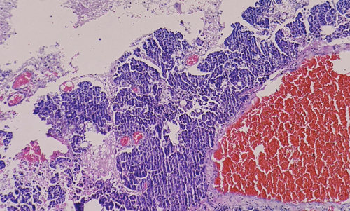
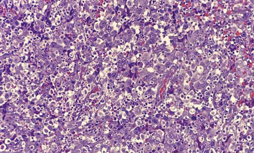
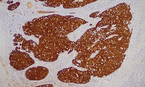
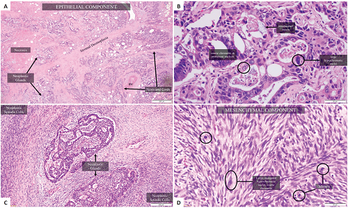
A Case Report on Carcinosarcoma of the Pancreas with a Concise Literature Review
Christine Santos, Rosalie Sabina Michiko Samonte
57-64
PDF
DOI:
https://doi.org/10.21141/PJP.2022.11
Authors Guidelines
Recommendations for the Conduct, Reporting, Editing and Publication of Scholarly Work in Medical Journals
*updated May 2022
71-89
PDF
submit_a_manuscript
website_vistors
WEBSITE VIEWS
Announcements
Advertisement: Onset Rapid Test Kits
25 March 2026
Advertisement: PlusLife MiniDock POC Molecular System for Tuberculosis
25 March 2026
psp_website
PHILIPPINE SOCIETY OF PATHOLOGISTS, INC.
online_resources
ONLINE RESOURCES